티스토리 뷰

구준엽씨의 러브스토리가 화제를 모은지 얼마되지 않아 아내가 폐렴으로 사망했다는 안타까운 소식이 들리는데요. 폐렴이 사망까지 이를 수 있는 질환일까요?
구준엽 아내 '대만 금잔디' 쉬시위안 폐렴으로 별세…향년 48세 | 연합뉴스
(서울=연합뉴스) 권수현 기자 = 그룹 클론 출신 가수 구준엽의 아내인 대만 유명 배우 쉬시위안(徐熙媛·영어명 바비 쉬)이 폐렴으로 사망했다고 ...
www.yna.co.kr
폐렴이란?
폐렴(pneumonia)은 폐의 세기관지와 폐포에 염증이 발생하는 감염성 질환으로, 박테리아, 바이러스, 곰팡이 등 다양한 원인에 의해 발생한다. 경증에서 중증까지 다양한 임상 양상을 보이며, 면역력이 저하된 환자나 기저질환이 있는 경우 치명적일 수 있다.
폐렴으로 사망하는 주요 원인
폐렴으로 인한 사망은 다양한 기전으로 발생하는데 대표적인 원인은 다음과 같다.
(1) 패혈증과 다발성 장기부전(Multiple Organ Failure, MOF)
폐렴이 심해지면 균이 혈류로 퍼지면서 패혈증(sepsis)을 유발할 수 있다. 패혈증은 처음 감염이 생긴 곳 뿐만 아니라 혈액에서도 감염된 미생물이 발견돠는 상태로 심한 경우 전신적인 염증 반응과 함께 혈압 저하, 장기 부전을 초래하며, 심한 경우 다발성 장기부전으로 이어져 사망에 이른다.
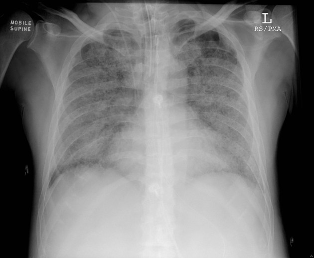
(2) 호흡부전(Respiratory Failure)
중증 폐렴에서는 폐포 내 삼출물(흔히 진물이라고 말하는 것과 비슷한 것)의 증가로 인해 산소와 이산화탄소 등 가스 교환이 어려워지면서 저산소증(hypoxemia)이 발생한다.
특히 급성호흡곤란증후군(Acute respiratory distress syndrome, ARDS)이 동반되면 산소 공급이 어려워지고 기계 환기(ventilator)에도 반응하지 않는 경우가 많아 환자의 예후, 즉 치료 결과가 나쁠 가능성이 높다.


(3) 심혈관계 합병증
폐렴은 심혈관계에 부담을 주어 부정맥이나 급성 심부전(heart failure)을 유발할 수 있다.
특히 노인이나 기존에 심혈관 질환이 있는 환자는 폐렴으로 인해 심장이 부담을 느껴 기존 질환이 악화 될 수 있는데, 이 경우 폐렴도 문제이지만 심혈관 질환의 급성 악화로 인하여 갑작스러운 사망에 이를 수 있다.
폐렴은 전 연령층에서 발생할 수 있지만, 특정 고위험군에서는 중증으로 진행될 가능성이 크며, 사망률 또한 높다. 특히 면역이 저하된 환자, 기저질환이 있는 환자, 고령자에서 합병증 위험이 크며, 독감(인플루엔자)과 연관된 비정형 폐렴이 발생할 경우 예후가 더욱 나빠질 수 있다.
폐렴 합병증 발생 가능성이 높은 사람
폐렴의 합병증 발생 가능성은 환자의 건강 상태와 기저질환에 따라 달라진다. 다음과 같은 환자군에서는 폐렴이 더욱 심각하게 진행될 가능성이 높다.
(1) 고령자(65세 이상)
노화로 인해 면역 기능이 저하되며, 기침 반사와 점막 섬모 기능이 약화되어 세균 및 바이러스 제거 능력이 떨어진다.
65세 이상에서는 폐렴으로 인한 사망률이 크게 증가하는데 초고령자 및 기저질환이 있는 경우에는 초기에 증상을 잘 못느끼거나 증상을 표현하지 못해 패혈증으로 진행한 후에나 발견하는 경우가 있다. 따라서 예방 접종이 필수적이며 외출 시 상시 마스크 착용이 도움이 된다.
(2) 만성질환 환자
만성 폐쇄성 폐질환(COPD)이나 천식 등 폐 기능이 저하된 상태에서 폐렴이 발생하는 경우 초기라도 기도 폐쇄와 저산소증이 심해져 급성 악화 가능성이 높고 인공호흡기가 필요할 가능성이 높다. 심혈관 질환이 있는 환자도 알고 있던 심혈관질환의 악화로 인해 초기부터 심한 호흡곤란이 발생하여 인공호흡기가 필요할 가능성이 높다. 저산소증이 심해지는 경우에는 급성 심장정지로 돌연사가 발생할 수 있어 빠른 처치가 필요하다.
폐 질환이 아니더라도 당뇨, 만성 신질환(투석), 만성 간질환(간경변증) 환자는 면역 기능이 저하되어 있어 합병증이 생길 가능성이 높으며, 비정형 폐렴의 발생 위험도 높다.
(3) 면역저하 환자
만성질환자 뿐 아니라 암 환자(특히 항암치료 중인 경우), 장기 이식 후 면역억제제 복용자, HIV/AIDS 환자는 세균 및 바이러스 감염에 대한 저항력이 떨어져 있다.
이들은 일반적인 폐렴균 외에도 기회감염에 취약한데, 기회감염은 정상 면역력을 가진 사람에게서는 문제를 일으키지 않는 균이 병을 일으키는 것을 말한다.
폐포자충 폐렴(Pneumocystis jirovecii, 곰팡이성 폐렴)이 대표적이며, 기회감염의 경우 약제에 치료 반응이 좋지 않아 사망 위험이 높다.
(4) 흡인성 폐렴 위험이 높은 환자
뇌졸중 환자, 파킨슨병 환자, 알츠하이머병 환자는 삼킴 능력이 저하되어 있어 사래가 빈번하게 들린다. 이런 경우 음식물이나 위산이 폐로 유입되어 흡인성 폐렴이 발생할 가능성이 크다.
흡인성 폐렴은 치료가 어렵고 재발 가능성도 높아 사망률이 높은 편이다.
(5) 비정형 폐렴: 독감, 코로나 등
비정형 폐렴(atypical pneumonia)은 전형적인 폐렴(폐렴구균 등)과 달리, 비정형 병원체(마이코플라스마, 클라미디아, 리케차, 바이러스 등)에 의해 발생하는 폐렴을 의미한다.
독감(인플루엔자)은 비정형 폐렴을 유발하는 대표적인 바이러스 감염이며, 특히 면역이 약한 사람에서는 중증 폐렴으로 진행될 가능성이 크다.
모든 폐렴이 입원을 필요로 하는 중증 질환으로 진행하는 것은 아니다. 건강한 사람은 경구 항생제로 충분히 치료가 가능하다. 그러나 면역 저하자, 고령자, 만성질환자, 독감 후 발생하는 폐렴과 같은 비정형 폐렴은 신속한 치료가 이루어지지 않으면 급성 호흡부전, 패혈증 등의 합병증으로 인해 사망에 이를 수 있어 주의를 기울여야 한다.
'건강' 카테고리의 다른 글
| 제가 장염이라구요? [설사의 흔한 원인] (0) | 2025.02.10 |
|---|---|
| 그냥 장염 아니예요? [응급실에 방문해야하는 설사 증상] (1) | 2025.02.10 |
| 설사는 왜 생길까? [설사의 정의, 발생기전, 동반 증상] (0) | 2025.02.10 |
| 독감 폐렴이 더 위험한 이유 [비정형 폐렴] (0) | 2025.02.05 |
| 폐렴으로 인한 사망을 줄이기 위한 예방 방법 [독감, 폐렴 무료 예방접종] (0) | 2025.02.05 |
